ویدئوهای آموزشی
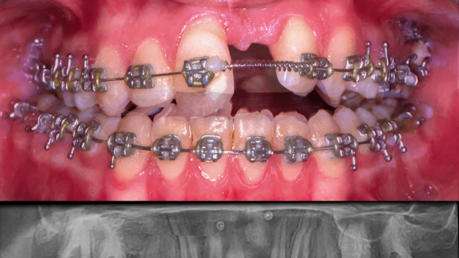
ارتودنسی برای ایمپلنت دندانهای غایب
37 بازدید
نمونه درمان ارتودنسی دکتر کوثر عزیزلو
65 بازدید
دستگاه ارتودنسی ناخن (ارتونیل)
1422 بازدید
درمان ارتودنسی یکی از بیماران دکتر موفق فولادگر
27 بازدید
دکتر عبدالرضا جمیلیان(از بهترین متخصص های ارتودنسی دندان در تهران)
70 بازدید
ارتودنسی برای ایمپلنت | دکتر داودیان
69 بازدید
ویدیو از اتمام ارتودنسی دندان
141972 بازدید
کلینیک دندانپزشکی تهران | سیمادنت
179 بازدید
دوراهی انتخاب | دکتر داودیان
115 بازدید
رضایت مراجعه کننده از خدمات ارتودنسی دندان
324203 بازدید
مدیریت مطب دندانپزشکی | سیمادنت
155 بازدید
دندونام نابود شد !!
125648 بازدید
