ویدئوهای آموزشی
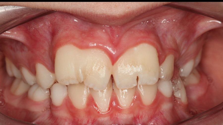
درمان يك كيس بسيار نادر از دندان هاي بهم چسبيده ي قدامي
205 بازدید
باید ها و نباید های ارتودنسی - دکتر ابراهیمی نیک متخصص ارتودنسی
626 بازدید
دکتر برهمن سبزواری | متخصص ارتودنسی در مشهد
182 بازدید
آموزش روش مسواک زدن در ارتودنسی
239 بازدید
اپن بایت
133 بازدید
فیلم حرکت دندانها در ارتودنسی
521 بازدید
ارتودنسی دندانهای جلو | تبدیل قبل به بعد
371 بازدید
ارتودنسی با کشیدن دندان | دکتر داودیان
918 بازدید
مراقبت های بعد از براکت
53 بازدید
ارتودنسی نامرئی
54 بازدید
دیاستما یا فاصله بین دندانی
57 بازدید
برنامه کودک دندانپزشکی _ ارتودنسی دندان _ کشیدن دندان
13171 بازدید
